CT検査とは

人間の医療においては、CT検査は古くから利用されてきていましたが、近年では、動物、特に犬猫の治療に盛んに利用されています。
CTとは、360度の方向から一度にレントゲン撮影を行う方法で、この事により今までのレントゲン検査でははっきりとしなかった病気が鮮明に撮影されます。撮影された画像を3次元的な いわゆる「3D画像」に処理することで、実物のような立体な画像が作成でき、非常に精密な検査や情報が得られます。そのため、今までは難しかった治療なども行えるようになり、また手術前に多くの情報を得ることで、より安全な手術を提供できるようになりました。
整形外科におけるCT検査
骨折時の状態を立体的に把握し、術前情報を提供できます。 先天性の骨の変形や骨折後の不正確な癒合などの変形を、3Dプリンターを併用することで骨模型を作成し、手術前に整復計画を正確に行うことができます。 成長期における骨格異常や関節の不一致を、より早期に発見して対応すること事ができます。

神経疾患におけるCT検査
ミニチュア・ダックスフンドやトイ・プードルなどを始めとして、犬の椎間板ヘルニアや交通事故などでの脊髄の骨折に対し、造影検査や3Dプリンターと組み合わせることで、その治療部位を早期に把握し、同時に手術を行うことができます。

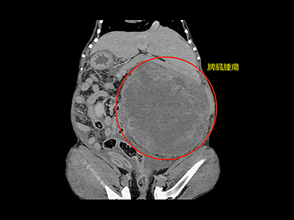
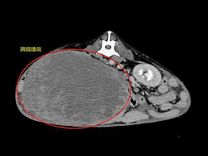
腫瘍性疾患におけるCT検査
腫瘍性疾患のCT検査は、病変の位置や浸潤、転移の有無など、手術前の検査としての役割や、抗癌剤などの治療効果判定としての役割があります。病変部やその周囲を細かく立体的にイメージできるようになるため、「より安全な手術、癌の早期発見」につなげる事ができます。

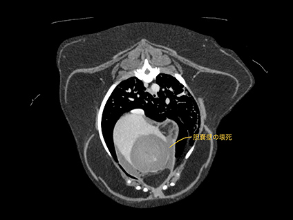
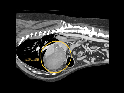
その他の疾患におけるCT検査
頭蓋内疾患(一部)、肺疾患、歯牙疾患、異物、胆道疾患そして尿路結石などにおいても迅速かつより正確な診断が可能となります。



