専門医療 犬前十字靭帯損傷( Anterior Crucial Rupture)
2019.05.02
犬前十字靭帯損傷は、大型犬、小型犬問わず犬において多くみられる代表的な膝関節の病気で、主に6歳以上の壮年期以上の犬に多く見られますが、1歳からの若い子にも起こることもあります。また、犬ほどではありませんでが猫においても十字靭帯損傷で来院されることがあります。
原因
人で見られるような運動中の外傷のみならず、犬においては靭帯自体が弱ってきて、自然に断裂していくことが知られています。この変化は、犬において特徴的なことで、ほとんどの犬が前十字靭帯損傷を起こす可能性があると考えられています。
このように靭帯自身が弱って徐々に断裂する場合、その損傷は部分的な損傷から始まり、この状態を部分断裂と呼ばれています。靭帯は部分断裂を繰り返し最終的には完全な断裂になります。
症状
犬において前十字靭帯が損傷した場合、部分的、完全断裂問わず痛みを伴うため、犬は足を挙上したり、足を投げ出して座っていたりし異常に気づきます。しかし部分断裂の場合、その後数日すると痛みが緩和され見かけ的には普通に歩けるようになる場合もあります。しかしながら靭帯は損傷したままであるので潜在的に関節炎が進行してしまい、いづれ変形性関節症に進行します。病院で前十字靭帯損傷を初めて診断する際、すでに慢性的な関節炎により関節が変形し、長期的な経過であったことを伺わされることがあります。
また、半月板の損傷を伴っている場合もあります。半月板損傷は、前十字靭帯の完全断裂の至って起こることが多く全体で前十字靭帯損傷した犬の50%の犬が併発していることが分かっています。この損傷は、大型犬でのデータですが、トイ犬種などの小型犬においてもやや発生率は少ないものの前十字靭帯損傷に伴って半月板損傷を起こしている事が本院の調べで分かっています(約30%)。
検査
完全断裂の場合、膝関節の不安定を触診にて見つけることができます。この不安定をドロアーサインと呼び、十字靭帯損傷の特徴的な変化として触診時に検査します。
前十字靭帯損傷はその損傷形態が様々で、診断が非常に難しい時もあります。下で示すような様々な方法を複合して早期の診断をする事が大切です。
レントゲン検査
膝関節の評価を行います。残念ながら、前十字靭帯はレントゲンに映らないため、靭帯損傷による炎症の存在を調べることになります。そのため、損傷後直後での診断に有用です。
関節鏡検査
(動画)チワワ3kg 観察棒(probe)を用いて断裂した靭帯の触診。前十字靭帯完全断裂と滑膜炎が起きている。
前十字靭帯損傷の確定診断をする事が出来、同時に処置も可能です。また診断が困難とされている前十字靭帯の部分断裂に対しても正確に診断できることで、早期発見につながり術後経過にも影響します。関節鏡検査は、関節内を拡大して観察できることから、僅かな損傷も確実に発見でき、また関節の奥の方に存在する半月板の損傷の評価にも有用です。
膝関節周囲に小さな穴を2箇所あけて、関節鏡(スコープ)を関節内に挿入し、直接、拡大して検査することができます。一般的にスコープは、2.4〜2.7ミリのサイズを使います。

30kgラブラドール 左膝関節鏡検査 関節内にスコープを挿入し、画像は、テレビを介して観察します。
トイ犬種のような小さな犬や猫の場合、より小さい1.9ミリのスコープを使用します。

3kg ヨークシャテリア 右膝関節鏡検査
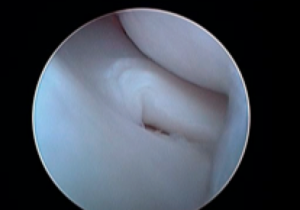
関節鏡画像


(左)ニューファンドランド50kg
前十字靭帯部分断裂 正常な後十字靭帯(左)の右横に隣接して見えている部分断裂のため腫れている前十字靭帯
(右)チワワ 2kg
前十字靭帯の完全断裂 靭帯の断端が切れて”ささくれ”ていました。左横に関節内の調べるための器具がみえています
半月板損傷
犬における半月板損傷は、前十字靭帯損傷における跛行の原因として重要で、損傷したままであると犬は完全な回復には至りません。
大型犬小型犬問わず、半月板損傷のほとんどは前十字靭帯の損傷に併発します。術後結果を良好にするためにも前十字靭帯の治療と同時に半月板損傷を的確に評価し治療することは大切です。




半月板の関節鏡評価
(左上)正常半月板 (右上)半月板損傷 バケツの取っ手型損傷 典型的な犬の半月板損傷の形態 (左下)半月板損傷 フラップ型 (右下)半月板損傷部を検査棒で引き出しているところ
治療
早期発見による外科手術が推奨されています。前十字靭帯損傷が長期的に経過してしまった場合、膝関節はすでに不可逆的な変形性関節症に至っていることが多く、この場合緩和治療として関節内注射とリハビリをコンビネーションして関節のケアーに努めます。
外科治療
前十字靭帯の再建手術は、動物整形外科においては未だ行われなく、人工糸による関節外での安定(関節外縫合術)、骨切り術による膝関節の安定化術(TPLO法,TTA法)が主な治療法です。近年においては、その多くがTPLO,TTA法による骨きり矯正術が関節の安定に優れているため、世界的にもスタンダードな治療法となっています。
手術方法には、それぞれ特徴があるため、病状や犬の状態に合わせて、それぞれの手術法を選択して提供する事が大切です。
関節外縫合術
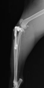
前十字靭帯により近い角度と位置に人工糸を設置します。様々な方法が行われていますが、近年ではスチャーアンカーとスチャーボタンを用いて、より効果的な位置に設置できるようになりました。

5kg プードル 骨に骨穴を開けスチャーアンカーとボタンを用いて人工糸を固定する。
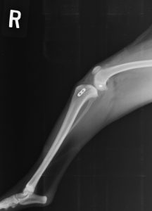
TPLO
アメリカで研究・開発されたシステムです。脛骨を特殊な器具で半円形に骨きりし、角度を変えることで前十字靭帯を必要としない関節角度を形成・維持します。専用のTPLOプレートを使用します。

36kg ラブラドール
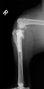
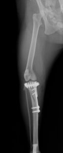
TTA
膝蓋骨靭帯の付着部(脛骨粗面)を骨きりして前方に持ち上げることで、大腿部の筋肉(大腿四頭筋)の角度を変え、大腿四頭筋群の作用によって正常な関節の動きを再現します。専用のTTAプレートと脛骨粗面を持ち上げておくためのケージを設置します。

32kg ラブラドール
すべてのインプラントは、小型犬〜大型犬まで用意されています。
その状況に合わせて治療方法は選択される事が、術後の回復・予後にとても大切です。
動画 シェパード 13歳 腰が悪く歩けないということで来院されましたが、両膝同時に発生した前十字靭帯損傷が原因でした。関節の状態を評価してそれぞれ1ヶ月間隔でTPLO(左)、TTA(右)手術を行い術後6ヶ月の歩様検査。
(動画) 術後3年 両後肢それぞれ状態によりTPLO(右)、TTA(左) を行ってる。長期的経過も比較的良い。
猫における前十字靭帯損傷
犬ほど多くはありませんが、猫においても前十字靭帯断裂の治療を必要となることがあります。猫における前十字靭帯損傷の原因は、犬とは異なりほとんどが外傷による場合が多いいと考えます。
症状
一般的には、患肢の挙上や跛行がみられますが、猫は犬と比較して、具合が悪いと動かなくしていることが多く、注意して観察しないとしばらく気付かないでいることもありますので注意が必要です。
診断
そのほとんどが、前十字靭帯の完全断裂を起こしているため、触診で診断できます。精査する場合、トイ犬種同様に小さな関節鏡を用いて関節内を検査できます。
治療
関節の不安定が著名に認められる場合が多く、外科治療が第一選択になります。
TTA
古くから伝統的な方法として、関節外縫合術(犬の治療・参照)が行われています。近年、それに加え、犬同様に骨きり術による治療法としてTTAによる治療が行われています。猫TTA法は、猫専用のインプラントを用いて行います。


(左右) チンチラ 3歳 前十字靭帯損傷に対し、猫TTA手術。
緩和治療
すでに重度の変形性関節症を起こしている時や、全身状態など他の理由で手術を受ける事が出来ない場合などに進行を遅らせる方法として選択されます。
関節注射
多血小板血漿の関節内投与(PRP関節内注射)
本人の血液を採取し、そこから血小板を多く含んだ液を作成し、関節内に投与します。血小板がもつ組織修復に対するメッセンジャーとしての働きを増やすことで、治癒効果を高める方法になります。
リハビリテーション
関節を動かさせることは大切ですが、痛みが伴っていると犬は歩きたがりません。関節内注射と併用して、水中運動やレーザーなどを使用して少しずつ動ける関節を再建していきます。
術後管理
術後は、10〜15分の散歩から始め、元どおりの運動量には徐々に戻してもらい、約2ヶ月で普段通りの運動量になるように計画していきます
関節の治療は、外科手術とその後に行う理学療法による関節のケアーが術後結果に非常に大切です。本院では、それらをチーム医療とし提供しています。 運動量や、使用状態に合わせて、リハビリを組み込んで速やかな機能回復を行えるようにします。また、半月板損傷を伴った場合や、足の使用があまり積極的でない犬たちには、水中運動による体重負荷を軽減しての理学療法が効果的です。
治療方法・治療結果については、学会・専門誌で報告・講演・執筆させていただいています。
麻酔外科学会 春季大会 犬前十字靱帯断裂へのTTA手術(脛骨粗面前方変位術)の長期成績
麻酔外科学会 犬前十字靭帯断裂に対する関節鏡診断の有用性
神奈川県獣医師会発表会 犬前十字靭帯断裂診断に対する関節鏡導入の有用性
動物臨床医学会年次大会 前十字靭帯損傷の診断に関節鏡を用いたトイ犬種50症例
小動物外科専門誌 <SURGEON 93> 特集犬の前十字靭帯断裂〜関節鏡検査と処置〜
動物臨床医学会年次大会 脛骨粗面前進化術(TTA)における合併症とその対応
その他

