専門医療 膝蓋骨脱臼について ( Patella Luxation)
2019.04.11
膝蓋骨脱臼は、お皿が本来あるべき滑車溝にとどまる事ができず脱臼してしまう病気です。犬においてみられる代表的な膝関節の病気で、特にトイプードルを中心とした小型犬においてよくみられます。また、犬ほど多くはありませんが猫ちゃんにもみられ、特にアビシニアン種では比較的多くあり、本院でも年に数匹の子が手術を必要として来院されています。
3歳のトイプードル内方にお皿が脱臼している
症状は?
無症状の場合もあり気付かれてないことが多く、ワクチンなどの検診時に偶然見つけられることもあります。特に習慣的に脱臼する場合無症状のまま病気が進行していくので厄介です 症状がある場合は、間欠的な足の挙上を示しますが、それが動き始めの数歩にスキップであったり、外れたお皿を戻そうと足を後ろにグーと伸ばしたような仕草することもあります。
脱臼の程度?
脱臼の重症度を4段階で分けて評価します。
グレード1 指でお皿を外すことができるが、指を離すと元の位置に戻る 普段は脱臼したままにはならない
グレード2 指でお皿を外すことができ、指を離してもすぐには元の位置には戻らず脱臼した位置にとどまる 普段も脱臼していることがある
グレード3 多くは脱臼した位置にお皿はあり、指で戻すことができるが、ほぼ正常な位置にとどまることができない
グレード4 脱臼した位置から正規の位置に戻すことができず常に脱臼している グレード2以上は外科的に整復することが推奨されています
治療は?
グレード1の場合、多くは、しばらくの運動制限とリハビリによって治療することができます。
グレード2以上になると、将来的な進行とこれ以上の脱臼の改善が見込めないことから手術によっての治療が勧められます。
グレード3以上になると持続的な脱臼により、お皿周りの筋肉の長さの調整する手術を加えて行われます。
グレード4以上になると、多くは慢性的な膝蓋骨脱臼の結果、後肢の変形が伴っています。このような場合に対しては、大腿骨骨きり術などのより特殊な手術加えて、足の骨の変形も治す事でより良好な手術結果になります。
どのような手術を行うのか?
グレード1〜3に対しては下記1&2を組み合わせて整復します。
1 お皿が収まっている滑車溝を深くすること(造溝術)で脱臼を防ぎます。滑車溝の表面の軟骨を保護する方法で行う事で、お皿の滑らかな動きを温存します。(Block Resection 法)
手術前 お皿が内側に落ちている(脱臼)

手術後 滑車溝を形成してお皿が入っている
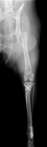
2 膝を曲げの伸ばしする際の筋肉の方向をわずかに矯正すること(脛骨粗面移動術)でお皿がスムーズに動けるようにしてあげます。

4kg プードル 滑車溝形成術+脛骨粗面移動術。グレード3までは、この手術法で対応可能である
グレード4に対しては
グレードが高くなるとより複雑な手術を組み合わせて治療する必要があります。グレード4で長期的に経過した時の治療などでは、すでに足の変形が伴っている場合があり、この場合、骨の矯正も同時に行うことが必要になります。


(左) 8ヶ月齢トイプードル 膝蓋骨内方脱臼グレード4 (右)一般的な膝蓋骨脱臼の治療手術に加え大腿骨の骨きりを実施した。(下動画) それぞれ術前の歩様と手術後4年の歩様
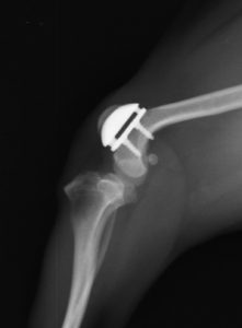
特殊な場合として、人工滑車溝置換術を行うことがあります。
慢性的なお皿の脱臼を長期的に放置していたことにより、関節軟骨がすでに無くなってしまっている場合、人工的な関節軟骨を設置することで なめらかな膝蓋骨の動きを取り戻すことができます。


チワワ2.5kg 人工滑車溝の設置
猫における膝蓋骨脱臼
猫においては、先ほども記述させていただいたように犬ほど多くはありませんが、膝のお皿が脱臼してしまう事があります。しかしながら一旦脱臼が起こってしまった場合、犬よりもその症状がはっきりとして明らかな歩行異常が見られます。治療は、犬の手術に準じて行われていますが、筋肉の作用する方向は、正常な場合が多く、多くは造溝術を中心として、溝にお皿を安定しておく方法のみで安定した結果が得られます。
術後?
手術後は、約10分ぐらいの軽いお散歩から、運動の再開になります。一般的には、週1回、計4回のリハビリを行ってもらいながら日常的な生活に戻し、術後1ヶ月半には、普通の運動を行えます。
膝蓋骨脱臼は、正確なグレード分けと脱臼を起こしている要因を正確に把握し場合によっては手術を選択して行えば、その後再脱臼を起こすことなく普段通りの生活になります。
治療方法・治療結果については、学会で報告・講演・執筆させていただいています。
麻酔外科学会 膝蓋骨脱臼〜滑車溝形成術について〜
奈良県獣医師会整形外科セミナー 膝蓋骨脱臼を考える
日本臨床獣医師フォーラム
膝蓋骨脱臼の治療方針〜症状がなくても手術する方が良いの?〜
麻酔外科サテライトセミナー
矯正骨きり術の必要性と治療計画大腿骨骨きり術に対するALPS の使用
小動物外科専門誌<SURGEON 110>
膝蓋骨脱臼(前編)病態・診断・治療
小動物外科専門誌<SURGEON111>
膝蓋骨脱臼(後編)質問に対する私の回答
神奈川県獣医師会発表会
膝蓋骨脱臼に対し手術を実施した犬73症例118関節の治療成績

