会陰ヘルニア、結腸固定、精管固定
2024.01.27

こんにちは、獣医師の松田です。今回は会陰ヘルニアのワンちゃんについてです。
会陰ヘルニアの発生にはアンドロゲンというホルモンが関与していると言われており、未去勢オスのワンちゃんで多いとされています。
ホルモンの影響により肛門周りの筋肉が萎縮してしまい、その隙間から消化管や膀胱などの腹腔内臓器が肛門横の皮下に脱出することで腫れ上がった見た目になります。脱出した臓器により症状は変わってきますが、排便体勢をとっているけど排便しにくそうなどのしぶりや場合によっては排尿困難などが挙げられます。
肛門横の腫れやしぶりなどで受診されることが多く、手術での肛門周囲の筋肉の整復を行うことが治療法とされています。
今回受診されたワンちゃんは保護施設より引き取られ、保護された時点で会陰ヘルニアと診断されました。しかし、重度のため手術を断られてしまったそうで、当院を受診されました
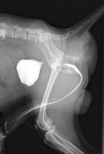
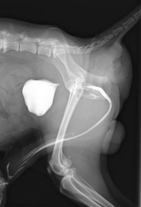
レントゲン画像では通常とは異なる位置に糞便の陰影が見られます。
また、本症例では尿路造影を行うことによって、尿道がヘルニアに巻き込まれていないことを確認しています。
手術の方法は多数ありますが、今回はワンちゃん本人の筋肉や靭帯を使い解剖学的に正常な構造への整復を行いました。(責任病変は左側の会陰ヘルニアでしたが、右側にも軽度の会陰ヘルニアを認めていたため左右同時に手術で整復を行いました)
また、今回は重度のヘルニアかつ経過が長かったことから、再び脱出しないように腹腔内での結腸固定や精管固定を行っています。
術後の経過は良好で排便排尿ともに問題なく、合併症もみられずに退院しています。
初めての来院時は痩せていて皮膚の状態も良くなかったですが、新しいご家族がすぐに様々な治療を行なってくれたおかげで今では見違えるほどに変化しています。やさしい家族に会えてよかったですね!