肝臓腫瘍について
2023.07.26

こんにちは。獣医師の永井です。最近は猛暑日続きですね。
今回は肝臓腫瘍についてです。
肝臓腫瘍は犬猫では比較的稀な腫瘍とされています。
犬猫の肝臓は、バナナの房のように分葉されており、肝臓腫瘍は1葉単独のものから、広範囲に及ぶものまで様々です。肝臓腫瘍は、肝細胞癌、肝細胞腺腫、胆管癌、血管肉腫、カルチノイドなどがあり、中でも肝細胞系腫瘍が半分ほどを占めています。1葉に限局もしくは2葉にまたがる腫瘍では、切除することで良好な予後が期待できます。肝臓は通常70%切除しても問題ないため、手術後に肝機能低下が問題になることは、基本的にはありません。
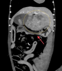
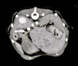
今回治療させていただいたワンちゃんは、数ヶ月前から肝臓(尾状葉乳頭突起)の腫れを指摘されており、CT検査で尾状葉乳頭突起に4センチ大の腫瘤性病変と胃の圧迫、重度の胆嚢拡張を認めました。肝臓腫瘍の初期はほとんど症状がなく(稀に低血糖)、腫瘍が大きくなることで他の臓器を圧迫して症状が出ることが多い印象です。
このワンちゃんも特に症状はありませんでしたが、大きくなると胃などを圧迫して食欲不振や嘔吐が出てくるリスク、破裂のリスクがあるため手術に踏み切りました。
黄線:肝臓腫瘤
赤矢印:圧迫された胃
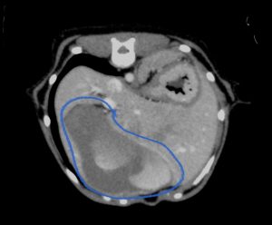
青線:胆嚢
手術は、流入する動脈と門脈、胆管を結紮し、肝細胞をフィンガーフラクチャー法で破砕し肝静脈を結紮し切除しました。また、重度に拡張した胆嚢も同時に切除しました。
術後は、順調に回復して術後4日目に退院しました。
術後1ヶ月で肝数値も正常に回復しています。
肝臓のできものでお困りの際は、当院にご相談ください。