胆嚢粘液嚢腫と胆管肝炎
2023.06.11

こんにちは。獣医師の永井です。
胆嚢の中にムチンと呼ばれるゼリー状の物質が蓄積した状態を「胆嚢粘液嚢腫」と言います。胆嚢粘液嚢腫は通常無症状ですが、総胆管閉塞(総胆管の中にムチンが詰まった状態)や胆嚢破裂を起こすと劇的な消化器症状を起こすことが多いとされています。
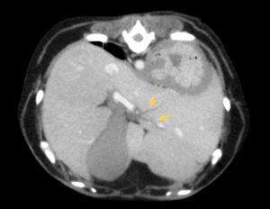
頻回の嘔吐と食欲不振を訴えて病院に来られたワンちゃん、血液検査で肝酵素と炎症マーカーの重度上昇があり、以前から胆嚢粘液嚢腫を抱えていたため、破裂などを疑わせる状況でした。超音波検査とCT検査では、胆嚢周囲の炎症、総胆管と肝内胆管の肥厚が見られましたが、破裂や閉塞所見は認めませんでした。胆嚢破裂や閉塞がない状態で、このような劇的な症状が起きることは比較的珍しいと思います。しかし、胆嚢粘液嚢腫が病態に関与していることは間違いなかったため、飼い主様に同意してもらい、その日のうちに胆嚢摘出術を行いました。
↑総胆管壁の肥厚
↑肝管の肥厚
↑胆嚢周囲(鎌状間膜)の炎症所見
病理検査の結果は、「胆嚢粘液嚢腫と胆嚢壊死(小範囲)、中程度の胆管肝炎」でした。
これまで胆嚢粘液嚢腫は、明らかな破裂や閉塞を起こさなければ症状は出ないと思っていましたが、今回のように胆管肝炎の原因になり得ることを勉強させていただきました。
このワンちゃんは無事に退院し紹介元の病院へ帰っていったので、会うことはないかもしれませんが、元気にしてくれているといいなと願っています。