2023.05.24
お知らせ
病気について
脾臓の脂肪肉腫について
こんにちは。獣医師の永井です。
今回は脾臓の脂肪肉腫についてです。脾臓は左上腹部にあり血液の濾過などの役割のある臓器で、高齢になると腫瘍が発生しやすい臓器の一つです。脾臓原発の悪性腫瘍として、最も多いものが血管肉腫、その他に組織球性肉腫、リンパ腫、脂肪肉腫などが挙げられます。
脂肪肉腫は、脂肪細胞が癌化した腫瘍で体表にできることが多く、脾臓など内臓での発生は比較的稀とされています。臨床症状は食欲不振や嘔吐、ふらつきなどですが、腫瘍がかなり大きくならないと出ないため発見が遅れることがあります。また、治療時の転移が予後に影響しており、「転移なしは767日、転移ありは45日」との報告があります。
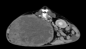
今回治療させていただいたワンちゃんは、ここ1年ほどでお腹が張ってきており、散歩中に立てなくなったとの事で来院されました。原因は、巨大な脾臓腫瘍と、脾臓腫瘍から壊死物質が漏れたことによる腹膜炎でした。重度の貧血を呈していたため、輸血で状態を安定化し、翌日に手術を行いました。脾臓腫瘍は、直径20センチ、重さ2.7kgで、病理組織学的検査は「脂肪肉腫」でした。幸いなことに、手術前のCT検査で転移所見はありませんでした。


術後は順調に回復し、元気に退院していきました。大きな腫瘍がなくなり、身軽になってよかったね!
脾臓腫瘍は症状が出にくいため、大きくなるまで気づかない事があります。定期的な健康診断で、チェックすることをオススメします。
