ケースレポート No. 3 猫の股関節人工関節全置換術
2023.10.15

猫種:MIX 年齢:1歳5ヶ月 体重:4.25kg
診断:左後肢 大腿骨骨頭骨折
2022年2月17日 関節切開にて骨頸部の不正癒合を確認
整復術は行わず、今後の症状に応じて治療を検討
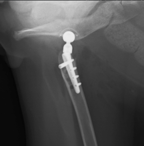
2022年3月11日 再び跛行し始めたとのことで、mini THR Cementless法 実施
(2021年11月7日 右後肢大腿骨骨頭骨折 整復術を実施済み)
~~~~~~~~~~~~~~~~~~~~~~~~~~~~
2021年11月に右後肢の大腿骨骨頭骨折で来院され、同日に整復手術を行いました。その時のレントゲンではまだ左後肢の大腿骨骨頭骨折は確認されませんでした。
青丸は右後肢です。
その後の検診で2022年2月に左後肢の大腿骨骨頭骨折が確認されたので、整復手術を試みました。
左後肢 大腿骨骨頭骨折
(右後肢は骨折整復のためのピンが入っています)
関節切開を行い、患部を確認したところ、骨頭の角度がずれながらも癒合していたため、整復術を行わずに閉創しました。
青い点線が不正癒合していたラインです。
症状に合わせて今後の治療を検討しておりましたが、2週間ほどしてから左後肢の跛行が見られるようになったため、外科手術を行いました。不正癒合していた骨頭部を整復することが困難と思われ、” 股関節人工関節全置換術 “を実施しました。
骨頭骨折や股関節脱臼などで整復が困難な場合、”骨頭切除手術”が選択されることがあります。しかし今回は、数年前からトイ犬種用の THR Cementless インプラントが発売されたこともあり、当院で初めて「猫に対してのTHR Cementless法」を行うこととなりました。
2週間の入院管理が必要となり、猫が術後の足の状態を受け入れられるか心配でした。やや神経質な性格なため、患部のアイシングやレーザー療法は嫌がってしまい、ケージ内での安静管理が基本となりました。術後4・5日は足を気にする様子が感じられましたが、徐々に負重できるようになり、1週間後くらいから、ケージ内をウロウロと動けるようになりました。退院前にはケージに前足をかけて立ち上がろうとするようになり、不自由さは感じられないような動きをしていました。
術後1年以上経過し、自宅でも元気に過ごしているようです。年齢も若い子なので、今後も元気に動き回れる様子を見られたら嬉しいです。
以上、”猫の大腿骨骨頭骨折に対しての股関節全置換術”の一例でした。