ケースレポート No.6 TPLO・THR 遠方からの患者様
2025.03.02

ホワイト・スイス・シェパード 4歳 43kg
診断 : 左後肢 前十字靭帯断裂
関節鏡検査にて前十字靭帯断裂を確認
TPLO手術を実施 ( 2024年6月 )
(KYON:プレートサイズ 12)
こちらの患者様は、沖縄県からいらっしゃいました。
ホームページからお問い合わせいただき、当院を受診
約半年ほど前から両後肢を破行。
股関節形成不全もあるが、まず先に前十字靭帯断裂の手術を行い、
その後 股関節形成不全への対応となりました。
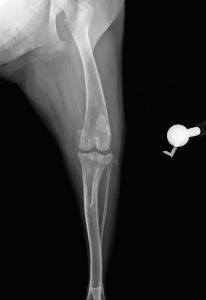
術前 レントゲン画像
TPLO像
VD像
ラテラル像
術後 レントゲン画像
TPLO像
VD像
TPLO手術後の検診を経て、前十字靭帯断裂に対しての処置が終了しました。
膝の状態が安定化したところで、右 股関節形成不全に対して
THR(Total Hip Replacement:股関節全置換術 )
手術を実施 (2024年10月)
右 股関節形成不全 術前 レントゲン画像
股関節 VD像
股関節 VD像 右大腿部の筋肉量が左より低下している
KYON THR Cementless 術後レントゲン画像
遠方から飛行機での来院のため、安全面を考慮し
術後は沖縄県の動物病院にて検診を受けていただきました。
術後 術前
右大腿部の筋肉量が術前よりも回復しているように見受けられます。
退院時にも、触診にて筋肉量の増加・厚みが増しているのことを感じました。
入院中も穏やかで、豊かな表情を見せてくれました。
検診後の様子を動画で送っていただきました。
膝の様子、股関節の様子 ともに良好そうです。
沖縄で元気に歩き回るレオンちゃん
なかなかすぐに会えませんが、沖縄の温かい気候の中、
元気に過ごしていることかと思います。
今後も様子を送っていただき次第更新します。