専門医療 犬の肘の病気
2019.12.27
犬は、前肢に約体重の60%を乗せて歩いているため、歩く上で非常に多くの役割を担っているのが前肢です。そのようなこともあり、犬の整形外科疾患を診察していると、前肢の病気は後肢に比べると早い段階で、飼い主様も気づいている方が多いように感じます。しかしながら獣医医療において、肘関節の治療はまだ確実な治療の方法はなく、残念ながら緩和的な治療を目的に進められいくのが現状です。そのため、早期に見つけて早くから治療を始めることでその進行をできるだけ遅らせることが非常に大切と考えられています。
写真 4ヶ月歳の肘関節と9年後の同じ肘関節。関節は重度に変形をし、関節の動きは極端に制約され、持続的な跛行が見られてしまっていました。4ヶ月齢時、症状は見られませんでしたが、わずかですが関節の硬化症(白くなる)が認められていました。
症状
症状を示す事なく病状は進行し、徐々に症状が見られるようになります。その症状は特徴的です。頭を上下方向に揺らして歩く、点頭運動がみられます(Head Bobing) 。
前肢を持ち上げるような仕草は、あまり肘関節の疾患の初期では見られませんが、進行すると足を付くことすら痛くなり、挙げざるを得なくなっている場合もあります。
肘関節の形成不全
関節の不一致症とも言われています。肘関節の形成する成長期における関節の不整が起こり、急性の痛みを示します。その後痛みは軽減しますが、不整のまま長期的に生活することにより関節は徐々に変形へと進行してしまい深刻な状態になっていきます(変形性関節症)。ラブラドールレトリバーやバーニーズマウンテンドッグなどは、その発症率が高いと言われている犬種ですが、大型犬全般に起こり得る疾患です。大型犬ほどではありませんが、小型犬やトイ犬種においても見つかることがあります。
鉤状突起分離症・肘突起癒合不全症
もっとも一般的な肘の疾患です。症状は突然で、時期は成長期から見られ、運動とともに悪化します。休むと一過性に収まりますが再発性です。頭を揺らすような歩様が特徴的な症状を示します。
診断
早期に診断し治療することがその後の予後にとても重要であると考えられています。病気の発症のメカニズムからそれぞれの時期に合わせて診断と治療が用いられています。
病気の進行の仕方
肘関節形成不全症は犬の成長期に伴い症状が進行し発症します。(肘関節形成不全症)
↓
不安定な肘関節で生活する。無症状 (初期)
↓
偶然の激しい動きによる関節を痛め初めての症状として認める。
↓
再発と回復を繰り返し、肘関節の病気になる 鉤状突起分離症(FCP) 肘突起癒合不全症(UAP)など。多くは6ヶ月齢〜(中期)
↓
治療しても持続的な肘関節の不安定は継続する
↓
関節軟骨の浪費・欠如(主に肘関節内側の関節面)
↓
上腕骨内顆関節軟骨の欠如による持続的な関節の痛み
内側コンパートメント症候群 (MCD) (後期)
写真 肘関節の関節鏡の画像。外側の関節面(奥)は、正常な関節軟骨(白色)に覆われているのに対し、内側の関節面(手前)は、関節軟骨が消失し、軟骨の下の骨が露出(ピンク色)しているます。
治療
初期に対する診断と治療
この時期に積極的に治療する事が唯一その後の関節の進行を止める事ができると考えられています。
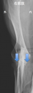
診断 主に早期レントゲン検査により評価・診断します。(4ヶ月齢〜)
写真 肘関節の早期診断。正常な関節との比較。関節の底部に白く変化している(骨硬化症)↓が診られます
尺骨骨切り術 (DUO/PUO)
尺骨を骨切する事で、その後の成長によって関節の不一致を犬自ら是正していく方法です。比較的治療が簡易的で、成長期の早い段階であれば、効果も期待できる方法ですが、手術を行う時期がとても重要になります。手術した足には包帯を約3週間装着しますが、術後直後から犬は患肢を使って歩く事が可能です。
写真 左 遠位尺骨骨切術 右 近位尺骨骨切術 年齢や状態により骨切部位を変えて行われます。手術した足は、翌日から使用する事ができます。
中期に対する診断と治療
鉤状突起分離症
関節鏡検査と同時に関節鏡のもとで分離した鉤状突起を切除除去する事ができます。状態や年齢により近位尺骨骨切り術を併用する事が効果的な場合もあります。
動画 関節鏡検査。関節を切る事なく行える検査は、患犬にも負担が少なく正確に診断できます。分離してしまっている鉤状突起(プロービング検査)
肘突起癒合不全症
レントゲン検査により評価します。
発生の多い犬種として、ジャーマンシェパード、バーニーズマウンテンドッグが知られています。癒合できない肘突起をスクリューで固定する方法や切除除去する方法が主に行われています。
写真 8ヶ月齢のバーニーズマウンテンドッグ。左 通常は、既に癒合していなければいけない肘の骨(肘突起)↓が癒合していません。右 スクリューにて肘突起を固定して安定させています。
後期に対する治療
関節軟骨が欠損して起こる関節の痛みは、衝撃を吸収する軟骨が失われたことが原因とし起こるため、不可逆性で継続的な症状を見せます。症状は、継続的な転頭運動による跛行や、痛みによる前肢の挙上です。痛みの頻度の程度、関節軟骨の欠損の大きなによって、内科治療・外科治療を組み合わせて行われています。
内科治療
全ての肘関節疾患に対して、リハビリ治療は効果的です。多くは、レーザー治療と関節の計画的な屈曲・伸展運動です。また、体重管理もとても重要です。
外科治療
緩和的な治療となりますが、一定の効果は期待できるため外科治療も多く行われています。
関節内注射 PRP注射
関節軟骨欠損部分の修復促進目的で用いられます。本犬の血液から採取した血小板を多く含む血清を関節内に投与します。効果は、様々ですが、自分の血液から採取した血清であるため、体にも優しく、一定の効果は期待できていることから、比較的行われやすい治療法です。
骨切術により肘疾患の治療法
肘関節における関節軟骨の欠損は、内側側で失われ、逆に、外側側には、関節軟骨が温存されていることも多くあります。このことを利用して、内側にかかる力を外側にある程度移動させて肘関節を使用させる方法があります。
写真 肘関節にかかる体重のイメージ図。左 正常な肘関節においては、内外側双方に均等に体重を乗せて生活しています。右 肘関節形成不全症の犬の場合、内側に多く体重を乗せていて、そのため内側の関節軟骨の浪費・欠損がおこり、痛みがでてきます。
SHO(Sliding Humerus Osteotomy)
上腕骨の骨幹部を骨切して内側にずらす事で、体重を内側から外側へ変化させる方法です。比較的効率よく体重を移動させる事ができます。
写真 ラブラドール13歳。左上腕骨の中央で骨を切って内側に移動してSHO専用プレートにて固定しています。
PAUL(Proximal Abducting Ulna Osteotomy)
前腕の尺骨近部を骨を切って、角度を変える事により体重を内側から外側へ変化させる方法です。術後から比較的運動を行える手術法として考えられています。
写真 バーニーズマウンテンドッグ8ヶ月。尺骨を骨切して、わずかに外側に角度を変えて固定している。
CUE (Canine Unicompartmentmental Elbow)
肘関節の体重を内側から外側に移動する方法として行わられている上記2つの方法に対し、内側の関節面を人工インプラントに置き換えることで対応する方法。
写真 バーニーズマウンテンドッグ3歳。肘関節を使用する際に当たる関節面に専用のインプラントを設置する方法。
犬における最終ステージの肘関節疾患への対応 に関する記述はこちら。
治療方法・治療結果については、学会で報告・講演・執筆させていただいています。